Espace patient

Cas cliniques

Cas cliniques Dentistes à Cagnes-sur-Mer, Drs Payam & Pegah Gandjidadeh Cas cliniques Dentistes à Cagnes-sur-Mer, Drs Payam & Pegah Gandjidadeh
#détartrage #blanchiment-dentaire
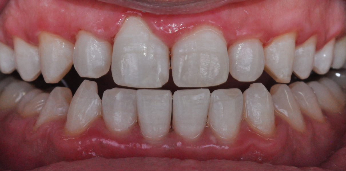
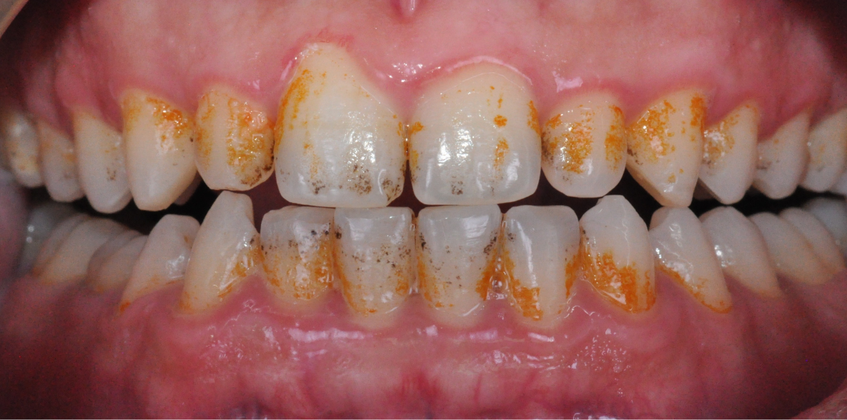
Cas 1
Détartrage complet suivi d’un blanchiment dentaire professionnel afin d’éliminer les taches et éclaircir la teinte des dents.
Cas cliniques Dentistes à Cagnes-sur-Mer, Drs Payam & Pegah Gandjidadeh Cas cliniques Dentistes à Cagnes-sur-Mer, Drs Payam & Pegah Gandjidadeh
#restauration-esthétique
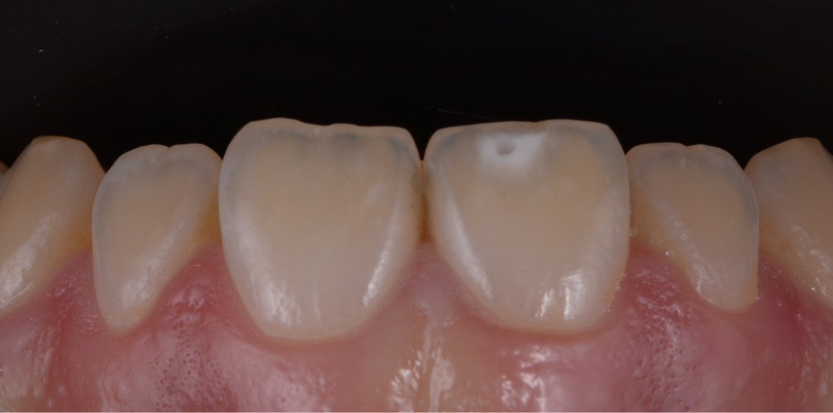
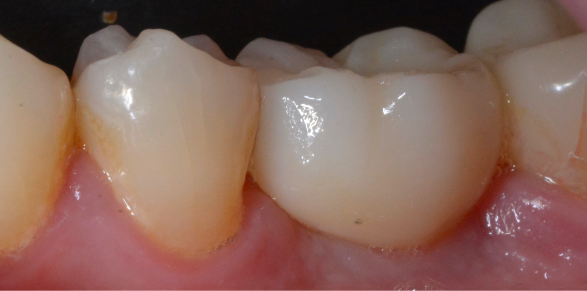
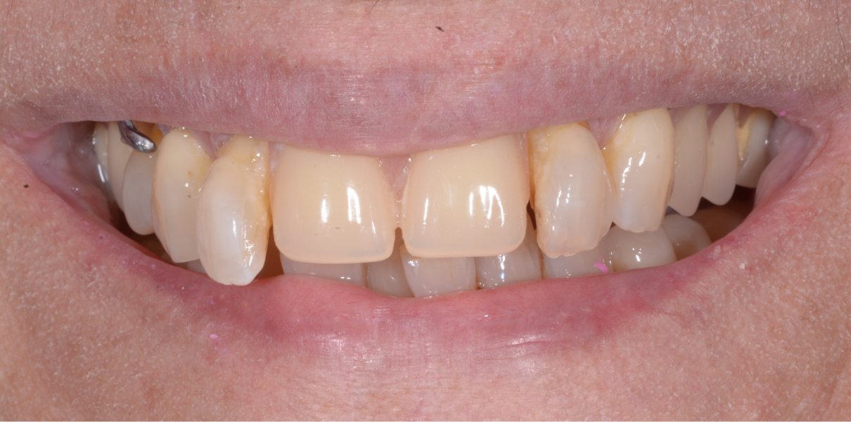
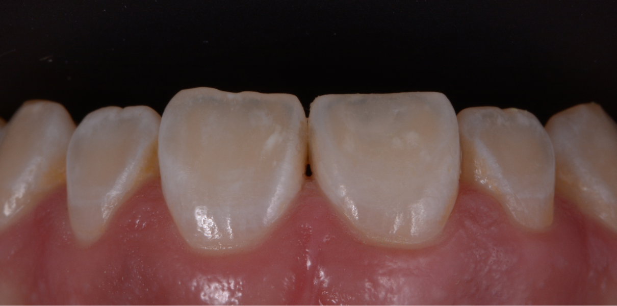
Cas 2
Nettoyage professionnel et restauration esthétique des incisives pour améliorer la forme, la couleur et l’harmonie du sourire.
Cas cliniques Dentistes à Cagnes-sur-Mer, Drs Payam & Pegah Gandjidadeh Cas cliniques Dentistes à Cagnes-sur-Mer, Drs Payam & Pegah Gandjidadeh
#facettes
Cas 3
Pose de facettes pour améliorer la forme, l’alignement et l’esthétique du sourire.
Cas cliniques Dentistes à Cagnes-sur-Mer, Drs Payam & Pegah Gandjidadeh Cas cliniques Dentistes à Cagnes-sur-Mer, Drs Payam & Pegah Gandjidadeh
#restauration-esthétique
Cas 4
Amélioration esthétique des dents antérieures pour un sourire plus harmonieux et naturel.
Cas cliniques Dentistes à Cagnes-sur-Mer, Drs Payam & Pegah Gandjidadeh Cas cliniques Dentistes à Cagnes-sur-Mer, Drs Payam & Pegah Gandjidadeh
#all-on-6
Cas 5
Réhabilitation implantaire complète type All-on-6 pour restaurer fonction et esthétique.
Cas cliniques Dentistes à Cagnes-sur-Mer, Drs Payam & Pegah Gandjidadeh Cas cliniques Dentistes à Cagnes-sur-Mer, Drs Payam & Pegah Gandjidadeh
#couronne-sur-implant
Cas 6
Pose d’une couronne sur implant afin de remplacer la dent manquante et rétablir l’esthétique ainsi que la fonction masticatoire.